หน่วยงานรัฐ  ที่เราทำภารกิจด้วย GOVERNMENT AGENCIES WE CONDUCT MISSIONS WITH   กสทช สำนักนายกกรมขนส่ง สำนักนายก สำนักงานประกันสังคม
PARTNER NEWS WORLD TEAMnews 1   news 1   news 2  news 3  EUNEWS  news 5  Untitled usa  news 1     CHOOSE LANGUAGE   ธง japna  ธง จีน  ธง ญี่ปุ่น   ธง ตุรกี  ธง รัซเซีย  ธง อังกฤษ  ธง อินเดีย  ธง โปตุเกส  ธง ไทย  LAO  kambocha  ธง ไทย   สมาชิก / top สมัครสมาชิก 

 2026.09.01 UPDATE  logos ธุรกิจนี้เป็นของกลุ่ม “ ชินวัตร ” คลิก logosนำโดย ทักษิณ ชินวัตร (คลิก) และมีการร่วมลงทุนจากกษัตริย์แห่งอังกฤษ โดยไม่มีการเปิดเผยรายละเอียดเกี่ยวกับมูลค่าหุ้นและขนาดของการลงทุนต่อสาธารณชนอย่างชัดเจน '' ยังคงเป็นความลับ ''  THIS BUSINESS BELONGS TO THE “SHINAWATRA” GROUP BY THAKSIN SHINAWATRA (CLICK), AND FEATURES JOINT INVESTMENT FROM THE KING OF ENGLAND. HOWEVER, DETAILS REGARDING THE SHARE VALUE AND THE SCALE OF THE INVESTMENT HAVE NOT BEEN PUBLICLY DISCLOSED AND “REMAIN CONFIDENTIAL 该业务隶属于“西那瓦(Shinawatra)”集团,由他信·西那瓦(点击)领导,并有来自英国国王的联合投资。然而,关于股权价值及投资规模的具体细节尚未向公众披露,且“仍属机密”。 

A A A
ยินดีต้อนรับ, บุคคลทั่วไป
ชื่อผู้ใช้: รหัสผ่าน: จดจำข้อมูลการเข้าระบบ
  • หน้าที่:
  • 1

กระทู้:

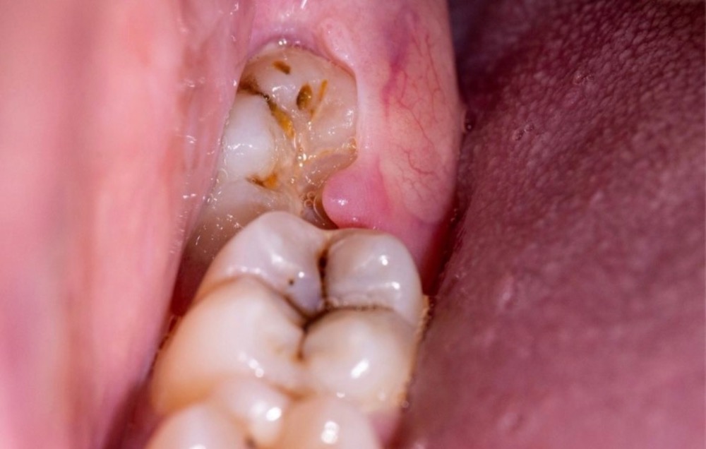
ผ่าฟันคุดดีไหม ผ่าฟันคุดที่ไหนดี / อยากหาที่ผ่าฟันคุด 09 ม.ค. 2026 20:37 #470

  • ผู้เขียนหัวข้อ
  • ผู้เยี่ยมชม
  • ผู้เยี่ยมชม
    Guest
ผ่าฟันคุดที่ไหนดีคะอยากขอคำผ่าฟันคุดที่ไหนดีคะอยากขอคำแนะนำหาที่ผ่าฟันคุดราคาถูกหน่อยค่ะโรงพยาบาลหรือมีสถานที่ที่ไหนรับผ่าฟันคุดราคาไม่แพงบ้างคะ
ไฟล์ที่แนบมาด้วย:

กรุณา เข้าสู่ระบบ เพื่อเข้าร่วมวงสนทนา

ผ่าฟันคุดดีไหม ผ่าฟันคุดที่ไหนดี / อยากหาที่ผ่าฟันคุด 09 ม.ค. 2026 20:38 #471

  • ผู้เขียนหัวข้อ
  • ผู้เยี่ยมชม
  • ผู้เยี่ยมชม
    Guest
ฟันคุด 2 ซี่หลัง จะทำให้หน้าเล็กลง ..
ส่วนใหญ่ การจัดฟันหมอจะให้ผ่า และ ถ้าเจอหมอดัดฟันเก่ง ๆ จับโยง จับยืดฟัน ได้หมดเลยคะ

กรุณา เข้าสู่ระบบ เพื่อเข้าร่วมวงสนทนา

ผ่าฟันคุดดีไหม ผ่าฟันคุดที่ไหนดี / อยากหาที่ผ่าฟันคุด 09 ม.ค. 2026 21:05 #479

  • airbus.74
  • ออนไลน์
  • OWNER_WEBSITE
  • OWNER_WEBSITE
    Registered
  • จำนวนโพสต์: 42
  • ขอบคุณที่รับ: 1
  • คะแนนสะสม: 740074.00
  • Honor Medal
3 ปีมั้งดัดฟันไม่รู้สมัยนี้ดัดฟันกี่ปี สมัยพี่ 1 - 2 หมื่น
เรื่องดัดฟัน กับ ผ่าฟันคุดนี่ฝีมือหมอแท้ ๆ เลยครับ

กรุณา เข้าสู่ระบบ เพื่อเข้าร่วมวงสนทนา

ผ่าฟันคุดดีไหม ผ่าฟันคุดที่ไหนดี / อยากหาที่ผ่าฟันคุด 09 ม.ค. 2026 21:18 #480

  • ผู้เขียนหัวข้อ
  • ผู้เยี่ยมชม
  • ผู้เยี่ยมชม
    Guest
สมัยนี้ 60,000 แล้วคะพี่ไปถามหมอมาวันนี้เองแบบใส

กรุณา เข้าสู่ระบบ เพื่อเข้าร่วมวงสนทนา

  • หน้าที่:
  • 1
loading...
loading...